
DO YOU SUFFER WITH ACHES AND PAINS?
THE KEY TO BETTER HEALTH COULD BE RIGHT UNDER YOUR…FEET!
Your feet support the weight of everything above them, so a small problem in your feet can change the way you walk.
The subtle change in your walk will cause a chain reaction of adjustments in your posture and biomechanics, leading to joint stress higher up the body.
This can have a severe impact on the day-to-day function of our body and quality of your life.
Foot pain is not normal and should not be ignored.
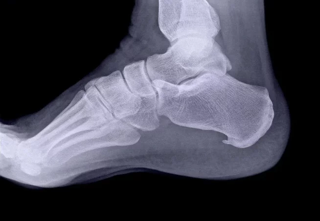
FOOT STRUCTURE
THE FOOT CONTAINS 26 BONES, WHICH ARE DIVIDED INTO 3 SECTIONS.
The forefoot contains the five toes (phalanges) and the five longer bones (metatarsals).
The midfoot is a pyramid-like collection of bones that form the arches of the feet. These include the three cuneiform bones, the cuboid bone, and the navicular bone.
The hindfoot forms the heel and ankle. The talus bone supports the leg bones (tibia and fibula), forming the ankle. The calcaneus (heel bone) is the largest bone in the foot.


FOOT MOTION
WALKING PUTS UP TO 1.5 TIMES ONE’S BODY WEIGHT ON THE FOOT
Muscles, tendons, and ligaments run along the surfaces of the feet, allowing the complex movements needed for motion and balance.
The Achilles tendon connects the heel to the calf muscle and is essential for running, jumping, and standing on the toes. which support and balance the weight of the entire body.
CONDITIONS
CONDITIONS CUSTOMISED ORTHOTICS HELP AND HOW

PLANTAR FASCIITIS
The plantar fascia is designed to absorb the high stresses and strains we place on our feet when walking or running. But, sometimes, too much pressure damages or tears the tissues. The body’s natural response to injury is inflammation, which results in the heel pain and stiffness of plantar fasciitis.
The unique combination of a Heel cup and Metatarsal arch support reduces the overall stretch of the plantar fascia tendon, therefore allowing it to mend and reduce inflammation.
BUNIONS
A bunion is a bony deformity of the joint at the base of the big toe.
How do Orthotics Help? The inner longitudal arch reaches under the 1st metatarsal joint thus changing the way you walk. This in turn will relieve pressure from the big toe joint.


ACHILLES TENDINITIS
A common condition that causes pain along the back of the leg near the heel.
How do Orthotics Help? It connects your calf muscles to your heel bone and is used when you walk, run, and jump. Controlling biomechanics allows all joints and muscles to function normally, thus eliminating the stress.
HAMMER TOES
A toe that is bent permanently downwards, typically as a result of pressure from footwear.
How do Orthotics Help? Our metatarsal arch balances muscles and tendons suspending further deterioration.


CALLUSES
Corns and calluses are areas of hard, thickened skin that develop when the skin is exposed to excessive pressure or friction.
How do Orthotics Help? Our patented metatarsal arch maintains equal pressure, therefore reducing the build up of hard skin.
HEEL SPUR
Heel spurs are bone-like deposits within the Achilles insertion or deep to the origin of the plantar fascia.
The heel bone is the largest bone in the foot and absorbs the most amount of shock and pressure.
How do Orthotics Help? Our supporting heel cup “holds” the heel bone in a stable position where the spur cannot be agitated while walking.


NEUROMA
Morton’s neuroma occurs when two bones rub together and compress the nerve between them. Most often, they occur between the bones leading to the third and fourth toes. It is a painful condition that makes walking difficult.
How do Orthotics Help? The full metatarsal arch maintains the natural curve and prevents the 3rd and 4th metatarsals from entrapping the nerve.
EXCESSIVE PRONATION
The inward movement of the foot as it rolls to distribute the force of impact.
How do Orthotics Help? Our inner Longitudinal arch, metatarsal arch and supporting heel cup, blend to ease foot into neutral position.


SUPINATION
Refers to the outward roll of the foot during normal motion.
How do Orthotics Help? The delicate balance of our outer longitudinal arch and metatarsal arch will correctly stabilize the foot in a neutral position.

WHY CUSTOMISED ORTHOTICS?
Orthotics rebalance your feet and reduce your pain!
In most situations choosing better footwear and customised orthotics will help correct your feet, reducing pain and discomfort by enhancing your body’s natural movements.
In addition to providing relief for painful foot problems or an injury, orthotics may provide benefits for:
- People who must walk or stand excessively at their workplace
- People active in sports, as orthotics will often increase endurance, performance and strength
- People who may have developed arthritis in their feet, orthotics are particularly effective in relieving foot fatigue and discomfort
FREQUENTLY ASKED
QUESTIONS
QUESTIONS

BOOK AN APPOINTMENT OR
SEE US AT AN EVENT!
Book a personal consultation and foot scan to determine whether orthotics will be of benefit to you. Include any information regarding your foot pain and discomforts that you think may be useful.
Please allow 45 minutes to 1 hour. Bring a selection of your footwear to try a sample orthotic in.

